Contention en orthodontie
CABINET DENTAIRE À PARIS 16
Maintenez votre sourire avec la contention chez le Dr Anthony Altglas
Un traitement orthodontique doit aboutir à un résultat stable. Or, les dents ont tendance à bouger dès que l’appareil dentaire est retiré. On parle de « récidive » des malpositions dentaires.
De plus les récidives sont plus importantes sur le secteur antérieur (visible au sourire) ce qui peut affecter l’esthétique du patient.
CABINET D'ORTHODONTIE À PARIS 16
Message important
La phase de contention orthodontique est essentielle pour maintenir les résultats et stabiliser la position des dents.
En son absence, les dents auraient tendance à revenir à leur position initiale.
La pose de la contention s’effectue après la dépose de l’appareil orthodontique.
Cabinet dentaire - 45 rue Vineuse, 75116 Paris
Contactez-nous pour une consultation
CABINET DENTAIRE À PARIS 16
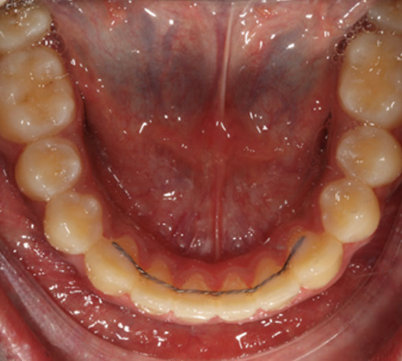
- Fixes : Fil de contention collé à l’arrière des dents antérieures pour une stabilisation permanente.
- Amovibles : Gouttières transparentes ou appareils de Hawley (avec fil métallique) portés selon les instructions du dentiste.
Sans contention, les dents ont tendance à revenir à leur position initiale en raison de la mémoire des tissus. Un dispositif de contention correctement utilisé est essentiel pour conserver les bénéfices de votre traitement orthodontique.
Le Dr Altglas et son équipe vous fourniront toutes les recommandations nécessaires pour l’entretien de votre dispositif de contention et assureront un suivi régulier pour préserver votre nouveau sourire.



